This website uses cookies to ensure that you have the best possible experience when visiting the website. View our privacy policy for more information about this. To accept the use of non-essential cookies, please click "I agree"
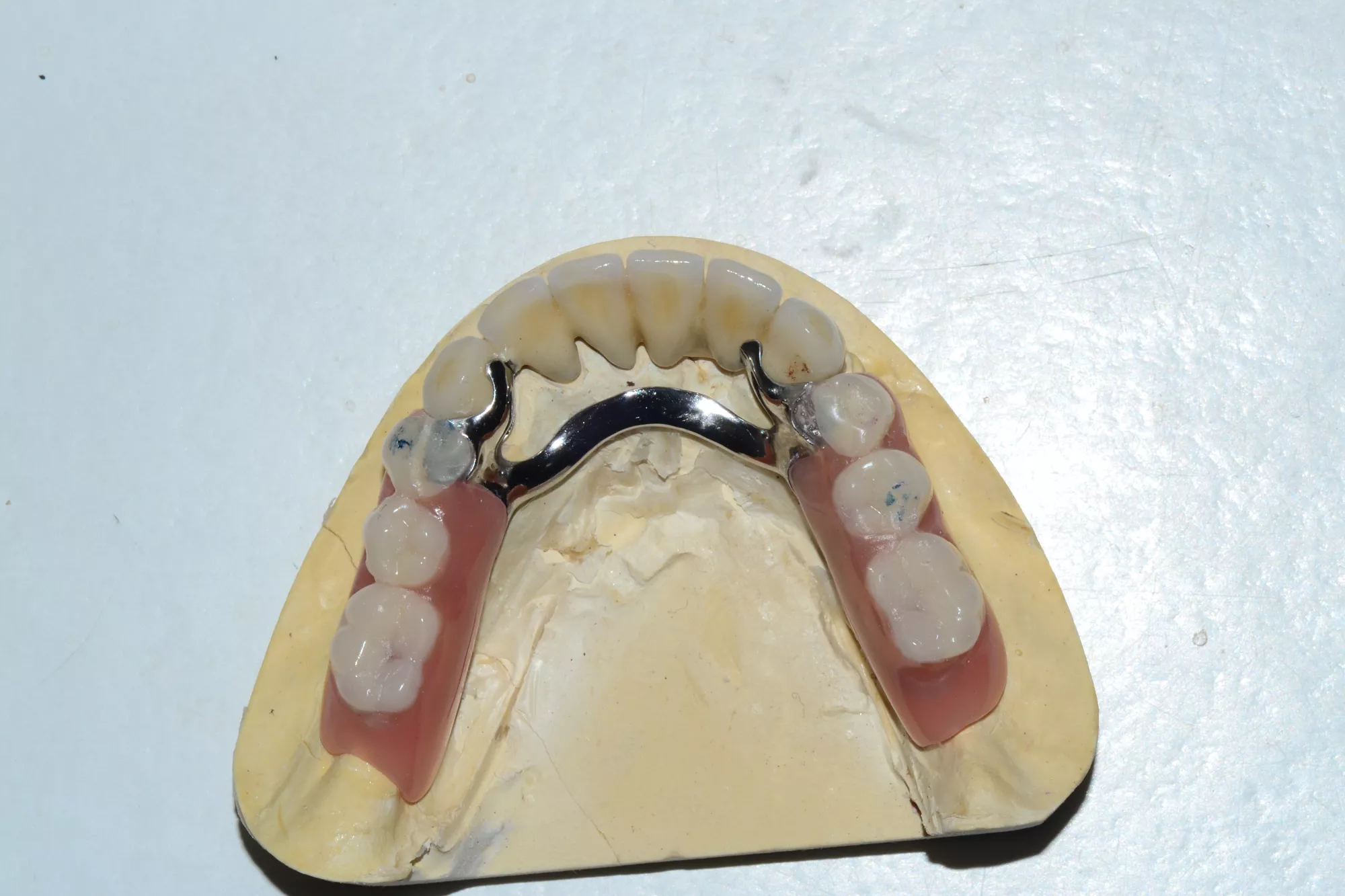
Fiksni i mobilni delovi se spajaju uz pomoć specijalnih atačmena. Kada fiksiramo krunice u ustima, uz pomoć atačmena proteza lako sklizne na svoje mesto. Oni takođe omogućavaju da se proteza ne pomera, jer je spojena sa fiksiranim krunicama.
Prva prednost je, kao što smo naglasili, stabilnost proteze, koja je maltene fiksirana u ustima.
Druga prednost je ta da čuvamo preostale zube i štitimo ih od karijesa i daljeg propadanja.
Treća prednost je optimalno opterećenje koje se ravnomerno deli i preko zuba i preko proteze.
Četvrto, proteze su maksimalno skraćene, što znači da nećete imati osećaj da ih nosite. Za ražliku od ovih proteza, akrilatne proteze su glomazne i često oštećuju zube svojim kukicama.
Peta prednost je lako odrzavanje oralne higijene svih komponenti.
Poslednja prednost je ta da u odnosu na implante kao rešenje nedostatka zuba ova varijanta je dosta ekonomičnija.
Da li ste pravi kandidat zavisi od nekoliko faktora, a to su
raspored preostalih zuba,
stanje preostalih zuba,
broj preostalih zuba
stanje vilične kosti
Najčešća indikacija za ovu vrstu nadoknade je prisustvo prednjih zuba, a nedostatak bočnih, čime izbegavamo ugradnju implanta
Svakodnevno usavršvanje našeg tima vam garantuje najbolju uslugu.
Trudimo se da svaka intervencija bude bezbolna, a oporavak brz.
Nijedan osmeh nije isti i nemaju svi istu viziju idealnog osmeha. Kod nas vaše želje postaju realnost.
Dragana Rakića 33D, Zemun, Beograd
0601313483
Ponedeljak - Petak 10:00 - 20:00 ; Subota 12:00 - 16:00
